


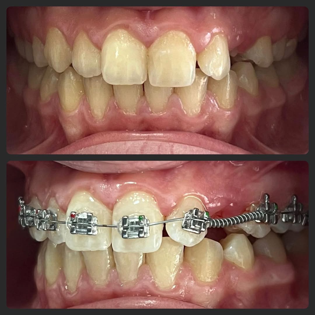
Η ορθοδοντική στην Αλβανία έχει γίνει μια από τις πιο δημοφιλείς οδοντιατρικές θεραπείες για ασθενείς που αναζητούν ένα όμορφο, υγιές και γεμάτο αυτοπεποίθηση χαμόγελο. Είτε χρειάζεστε παραδοσιακά σιδεράκια, κεραμικά σιδεράκια είτε αόρατους νάρθηκες, οι ορθοδοντικές θεραπείες στην Οδοντιατρική Κλινική Tarja συνδυάζουν προηγμένη τεχνολογία, ιατρική ακρίβεια και αισθητική αριστεία, όλα σε προσιτές τιμές.
Στην Οδοντιατρική Κλινική Tarja, ειδικευόμαστε στην ολοκληρωμένη ορθοδοντική φροντίδα τόσο για ενήλικες όσο και για παιδιά. Η κλινική μας στην Αλβανία χρησιμοποιεί ψηφιακή τρισδιάστατη σάρωση, εξατομικευμένα σχέδια θεραπείας και διεθνώς αναγνωρισμένα ορθοδοντικά συστήματα για να εξασφαλίσει τα καλύτερα λειτουργικά και αισθητικά αποτελέσματα.
Υπό την καθοδήγηση του Dr. Arbi Tarja, η ορθοδοντική μας ομάδα παρέχει εξατομικευμένη και ήπια φροντίδα για κάθε ασθενή. Με εκτενή διεθνή εμπειρία και εκπαίδευση, ο Dr. Tarja είναι γνωστός για την ακρίβειά του σε σύνθετες ορθοδοντικές περιπτώσεις, όπως σοβαρές δυσalignίες, διορθώσεις σύγκλεισης και συνδυασμένες θεραπείες εμφυτευμάτων και ορθοδοντικής.
Είτε είστε έφηβος που αναζητά ένα χαμόγελο με αυτοπεποίθηση είτε ενήλικας που αναζητά διακριτικές λύσεις όπως το Invisalign, η Tarja Dental Clinic προσφέρει τις πιο προηγμένες ορθοδοντικές θεραπείες στην Αλβανία — συνδυάζοντας λειτουργικότητα, αισθητική και άνεση.
Υπό την καθοδήγηση του Dr. Arbi Tarja, η ορθοδοντική μας ομάδα παρέχει εξατομικευμένη και ήπια φροντίδα για κάθε ασθενή. Με εκτενή διεθνή εμπειρία και εκπαίδευση, ο Dr. Tarja είναι γνωστός για την ακρίβειά του σε σύνθετες ορθοδοντικές περιπτώσεις, όπως σοβαρές δυσalignίες, διορθώσεις σύγκλεισης και συνδυασμένες θεραπείες εμφυτευμάτων και ορθοδοντικής.
Είτε είστε έφηβος που αναζητά ένα χαμόγελο με αυτοπεποίθηση είτε ενήλικας που αναζητά διακριτικές λύσεις όπως το Invisalign, η Tarja Dental Clinic προσφέρει τις πιο προηγμένες ορθοδοντικές θεραπείες στην Αλβανία — συνδυάζοντας λειτουργικότητα, αισθητική και άνεση.
Η διάρκεια κυμαίνεται από 6 έως 24 μήνες, ανάλογα με την περίπτωση. Η ψηφιακή παρακολούθηση και τα σύγχρονα συστήματα που χρησιμοποιούνται στην Tarja Dental συχνά μειώνουν τον χρόνο θεραπείας, διατηρώντας υψηλή ακρίβεια.
Ναι. Η Tarja Dental Clinic είναι πιστοποιημένη για τη θεραπεία με διαφανείς νάρθηκες Invisalign®, προσφέροντας αισθητικές και άνετες λύσεις για εφήβους και ενήλικες.
Μπορεί να υπάρξει ήπια ενόχληση όταν τοποθετούνται ή ρυθμίζονται τα σιδεράκια, αλλά συνήθως υποχωρεί μέσα σε λίγες ημέρες. Τα σύγχρονα συστήματα ελαχιστοποιούν τον πόνο και μεγιστοποιούν την άνεση.
Το κόστος διαφέρει ανάλογα με τη μέθοδο (μεταλλικά, κεραμικά ή Invisalign). Κατά μέσο όρο, οι θεραπείες στην Αλβανία κοστίζουν έως και 60% λιγότερο σε σχέση με τη Δυτική Ευρώπη. Παρέχεται αναλυτική προσφορά μετά τη συμβουλευτική.
Ναι. Προσφέρουμε υβριδικές επιλογές θεραπείας, συμπεριλαμβανομένης της απομακρυσμένης παρακολούθησης και online επανελέγχων για ασθενείς που ταξιδεύουν από το εξωτερικό.
We always take care of your smile
0688201762
Αφιερώνουμε χρόνο για να κατανοήσουμε τις ανάγκες και τους στόχους σας, δημιουργώντας εξατομικευμένα πλάνα θεραπείας για τη βέλτιστη στοματική υγεία σας