


L’ortodonzia in Albania rappresenta oggi una delle soluzioni dentali più richieste per chi desidera un sorriso armonioso, sano e perfettamente allineato. Che si tratti di apparecchi tradizionali, estetici o trasparenti, da Tarja Dental Clinic combiniamo tecnologia avanzata, competenza medica e risultati estetici eccellenti, a costi molto più accessibili rispetto all’Europa occidentale.
Presso Tarja Dental offriamo trattamenti ortodontici completi per adulti e bambini. Utilizziamo scanner digitali 3D, sistemi ortodontici internazionali e pianificazioni computerizzate per garantire la massima precisione e comfort durante tutto il percorso di cura.
1. Visita Iniziale e Valutazione Digitale
Il tuo percorso inizia con una visita specialistica completa, radiografie panoramiche e scansione digitale 3D. Analizziamo accuratamente l’occlusione, la posizione dei denti e l’estetica del viso per elaborare un piano di trattamento personalizzato.
2. Pianificazione e Scelta dell’Apparecchio
A seconda delle tue esigenze, il nostro ortodontista potrà consigliarti tra apparecchi metallici, ceramici, autoleganti o allineatori trasparenti Invisalign®. Tutti i nostri sistemi garantiscono efficienza, estetica e risultati prevedibili.
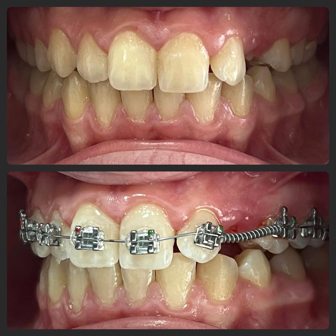
3. Fase Attiva del Trattamento
Durante questa fase, l’apparecchio o gli allineatori spostano gradualmente i denti nella posizione corretta. Grazie alla tecnologia digitale e ai controlli periodici, monitoriamo costantemente l’avanzamento fino al raggiungimento del sorriso ideale.
4. Fase di Contenzione e Stabilizzazione del Sorriso
Una volta terminato il trattamento, forniamo retainer personalizzati per mantenere la nuova posizione dei denti nel tempo. I controlli di mantenimento assicurano risultati duraturi e stabili.
Guidato dal Dott. Arbi Tarja, il nostro team ortodontico offre un approccio delicato, preciso e personalizzato. Grazie alla sua formazione internazionale e alla lunga esperienza clinica, il Dr. Tarja è riconosciuto per la gestione di casi ortodontici complessi, malocclusioni e trattamenti combinati ortodonzia-implantologia.
Che tu sia un adolescente in cerca di un sorriso sicuro o un adulto che desidera una soluzione discreta come Invisalign®, Tarja Dental Clinic offre le tecniche ortodontiche più avanzate in Albania, unendo funzionalità, estetica e comfort.
Esperienza Internazionale – Il nostro team è formato presso prestigiose accademie europee e utilizza sistemi ortodontici riconosciuti a livello mondiale.
Tecnologia Avanzata – Scanner 3D, imaging digitale e pianificazione computer-guidata per risultati precisi e tempi di trattamento ridotti.
Eccellenza Accessibile – Trattamenti ortodontici di altissimo livello a prezzi fino al 60% inferiori rispetto a Italia, Regno Unito o altri Paesi UE.
Assistenza Completa – Piano terapeutico dettagliato, monitoraggio costante e supporto multilingue per ogni paziente.
Supporto al Turismo Dentale – Offriamo assistenza completa ai pazienti internazionali: consulenze online, organizzazione del viaggio e follow-up post-trattamento.
Apparecchi metallici tradizionali – Soluzione efficace per ogni tipo di disallineamento.
Apparecchi in ceramica – Brackets trasparenti per un aspetto più estetico.
Apparecchi autoleganti – Maggiore comfort e minori tempi di trattamento.
Invisalign® clear aligners – Sistema trasparente, rimovibile e discreto.
Ortodonzia infantile intercettiva – Trattamenti precoci per prevenire malocclusioni future.
Sì. Tarja Dental è una clinica certificata Invisalign® Provider, offrendo soluzioni trasparenti e confortevoli per adulti e adolescenti.
Ci prendiamo sempre cura del tuo sorriso
0688201762
Ci prendiamo il tempo necessario per comprendere le tue esigenze e i tuoi obiettivi individuali, creando piani di trattamento personalizzati per aiutarti a raggiungere una salute orale ottimale.
L’obiettivo della nostra clinica è quello di offrire un’odontoiatria amichevole e premurosa e trattamenti odontoiatrici generali, estetici e specialistici di altissimo livello.