


Ke ëndërruar gjithmonë një buzëqeshje perfekte, të bardhë dhe të harmonishme? Me Hollywood Smile në Tarja Dental Clinic në Durrës, kjo ëndërr mund të bëhet realitet. Ne ofrojmë një transformim estetik të plotë të buzëqeshjes, duke kombinuar teknologjinë më të avancuar, materialet premium dhe përvojën ndërkombëtare të specialistëve tanë.
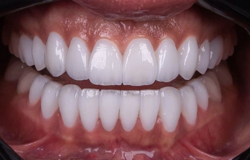
Hollywood Smile është një trajtim estetik dentar i cili realizohet kryesisht me faseta dentare (veneers) të bëra nga porcelani E-max, zirkoni ose materiale të tjera moderne. Ato vendosen mbi dhëmbët natyralë për të korrigjuar:
Diskoloritë ose njollat e dhëmbëve që nuk zhduken me zbardhje.
Hapësirat mes dhëmbëve (diastema).
Dhëmbët e shkurtër, të konsumuar ose me formë jo të rregullt.
Smaltin e thyer, të dëmtuar apo të holluar me kalimin e kohës.
Parregullsitë e vogla në formë dhe simetri.
Rezultati është një buzëqeshje e bardhë, natyrale, e përshtatur me tiparet e fytyrës tënde.
Pacientët tanë nga Shqipëria, Italia, Gjermania dhe Britania e Madhe zgjedhin Tarja Dental sepse ne ofrojmë:
Ekspertizë Ndërkombëtare – Dr. Arbi Tarja dhe ekipi i tij janë të specializuar në estetiken dentare dhe smile design, me eksperiencë në raste të komplikuara.
Teknologji të Avancuar – Përdorim Digital Smile Design (DSD) dhe skanime 3D për të planifikuar buzëqeshjen tënde përpara fillimit të trajtimit.
Materiale Premium – Faseta E-max dhe zirkoni për estetikë, forcë dhe jetëgjatësi.
Kohë të Shpejtë Trajtimi – Për pacientët ndërkombëtarë, transformimi mund të realizohet brenda 5–7 ditësh.
Çmime të Përballueshme – Standarde europiane me çmime deri në 70% më të ulëta se klinikat në Itali, Gjermani apo Angli.
Konsulta & Planifikimi – Vizitë klinike dhe simulim digjital për të parë rezultatin përpara trajtimit.
Përgatitja e Dhëmbëve – Limim minimal ose aspak invaziv, duke ruajtur strukturën natyrale.
Krijimi i Fasetave – Laboratori ynë realizon faseta individuale sipas ngjyrës, formës dhe transparencës natyrale.
Vendosja Përfundimtare – Fasetat vendosen me teknikë bonding për një qëndrueshmëri afatgjatë dhe estetikë të përsosur.
Procesi zakonisht përfundon brenda 5–7 ditësh, perfekt për pacientët ndërkombëtarë që udhëtojnë për turizëm dentar.
Jo, procedura është minimale invazive dhe pothuajse pa dhimbje. Në rast nevoje, përdoret anestezi lokale.
Me kujdes të mirë oral dhe vizita periodike, fasetat mund të zgjasin 10–15 vjet ose më shumë.
Kostoja varet nga materiali i përdorur (E-max, zirkon, kompozit), por tek Tarja Dental Clinic është deri në 70% më e ulët krahasuar me klinikat në Itali apo vendet e BE-së.
Jo. Përdorim teknika minimisht invazive për të ruajtur strukturën natyrale të dhëmbëve.
Ne kujdesemi gjithmonë për buzëqeshjen tuaj
0688201762