Kur dëgjon dikë që thotë më është thyer një dhëmb ose kam nevojë për një kurorë, pyetja që pason zakonisht është: Po sa kushton një dhëmb zirkoni?. Shumë mendojnë menjëherë tek shifra, por realiteti është se një dhëmb zirkoni nuk është vetëm një produkt, por një kombinim i materialit, teknologjisë dhe përvojës mjekësore. Dhe kjo është arsyeja pse çmimi ndryshon kaq shumë nga vendi në vend dhe nga klinika në klinikë.
Pse zirkoni ka fituar popullaritet?
Zirkoni nuk është një emër komercial që tingëllon bukur, por një material i testuar në mjekësi për vite të tëra. Fillimisht përdorej në kirurgji ortopedike për protezat e gjurit dhe ijeve, përpara se të hynte në stomatologji. Ky fakt i jep pacientëve një siguri të madhe: nuk është thjesht një material estetik, por edhe biokompatibil dhe ultra-rezistent.
Nëse porcelani tradicional shpesh kishte probleme me ngjyrën artificiale ose thyerjen pas disa vitesh, zirkoni ofron:
-
Ngjyrë natyrale, shumë afër dhëmbëve origjinalë.
-
Forcë të lartë, që i bën të rezistojnë edhe tek dhëmbët e pasëm ku forca e kafshimit është e madhe.
-
Jetëgjatësi, që e justifikon plotësisht çmimin.
Pra, kur flasim për çmimin e një dhëmbi zirkoni, flasim për një material që kombinon estetikën me funksionalitetin.

Sa kushton një dhëmb zirkoni në vende të ndryshme?
Le të bëjmë një krahasim realist.
-
Shqipëri: 150 € – 250 € për një kurorë zirkoni.
-
Itali: 500 € – 800 € (në disa klinika private shkon edhe më shumë).
-
Gjermani & Zvicër: 700 € – 1,200 € për një dhëmb të vetëm.
-
Turqi: 250 € – 400 €, shpesh si pjesë e paketave për pacientët ndërkombëtarë.
Ky hendek çmimesh nuk lidhet me materialin (sepse zakonisht përdoren të njëjtat laboratorë dhe furnizues), por me koston e jetesës dhe shërbimit shëndetësor në çdo vend. Për këtë arsye, Shqipëria dhe Turqia janë bërë pika të forta të turizmit dentar.

Çfarë përfshihet në çmim?
Kur dëgjon një klinikë që thotë “një dhëmb zirkoni kushton 200 euro”, nuk duhet të mendosh vetëm për kurorën fizike. Në çmim përfshihet:
-
Konsulta dhe planifikimi (përfshirë radiografi ose skanime 3D).
-
Përgatitja e dhëmbit që do të mbulohet.
-
Marrja e masave digjitale ose tradicionale.
-
Prodhimi i kurorës në laborator (shpesh me teknologji CAD/CAM).
-
Vendosja përfundimtare nga mjeku.
Pra, nuk paguan vetëm një material, por një proces të tërë të ndërtuar për të zgjatur me vite.
Pse disa kurora kushtojnë më shumë se të tjerat?
Shumë pacientë pyesin: “Pse tek një klinikë është 180 €, ndërsa tek një tjetër 250 €?”. Diferenca shpesh lidhet me:
-
Eksperiencën e dentistit dhe teknikut: një mjek me eksperiencë të gjatë dhe laboratorë me reputacion më të lartë kanë tarifa më të shtrenjta, por edhe rezultate më të sigurta.
-
Teknologjinë e përdorur: skanimi digjital dhe printerët 3D kanë kosto më të larta, por japin përshtatje perfekte dhe eliminojnë rrezikun e rregullimeve të shumta.
-
Garancia e dhënë: klinikat serioze shpesh japin garanci disa-vjeçare për kurorat, gjë që justifikon çmimin.

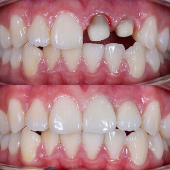
Kurora prej zirkoni si investim afatgjatë
Nëse e sheh vetëm si shpenzim, çmimi i një dhëmbi zirkoni mund të duket i lartë. Por nëse e sheh si investim, bëhet e qartë pse pacientët e zgjedhin:
-
Nuk ka nevojë për zëvendësim çdo 5 vite si me disa materiale më të lira.
-
I ruan dhëmbët përreth sepse përshtatet në mënyrë perfekte.
-
Rrit besimin në buzëqeshje, gjë që nuk ka çmim të matshëm.
Për kë është i përshtatshëm një dhëmb zirkoni?
-
Për pacientët që duan një pamje sa më natyrale.
-
Për ata që kanë probleme alergjike me metalin.
-
Për ata që kanë nevojë për forcë dhe jetëgjatësi, sidomos në dhëmbët e pasëm.
-
Për ata që nuk duan të paguajnë dy herë për të njëjtin problem.
Sa duhet të prisni të paguani?
Pra, sa kushton një dhëmb zirkoni? Në Shqipëri, mesatarisht 150 – 250 euro. Në Itali apo Gjermani, deri në 1,000 euro. Diferenca është e madhe, por rezultati i mirë nuk varet vetëm nga çmimi, varet nga klinika, mjeku dhe kujdesi që merrni pas trajtimit.
Në fund të fundit, një kurorë prej zirkoni nuk është thjesht një “mbulesë mbi dhëmb”. Është një zgjidhje që kthen funksionin, estetiken dhe besimin. Dhe ky është një investim që shpërblen për vite me radhë.
Zgjidhni Tarja Dental Clinic
Kur vendosni të bëni një dhëmb zirkoni, klinika ku kryhet trajtimi është po aq e rëndësishme sa materiali. Një çmim i ulët nuk vlen nëse nuk shoqërohet me siguri, garanci dhe kujdes profesional.
Tarja Dental Clinic është një zgjedhje e besueshme për pacientët vendas dhe ndërkombëtarë. Ne kombinojmë ekspertizën mjekësore, teknologjinë më moderne dhe kujdesin e personalizuar për çdo pacient që na beson buzëqeshjen e tij.
Pse të na zgjidhni?
-
Eksperiencë dhe rezultate të provuara – qindra pacientë kanë rikthyer buzëqeshjen me kurora dhe implante prej zirkoni.
-
Teknologji e avancuar – skanime 3D, laborator CAD/CAM dhe materialet më cilësore.
-
Çmime të arsyeshme – deri në 70% më të ulëta se klinikat e BE-së, me të njëjtën cilësi.
-
Shërbim i personalizuar – plan trajtimi i përshtatur sipas nevojave dhe pritshmërive tuaja.
-
Mbështetje për pacientët ndërkombëtarë – konsulta online, asistencë për udhëtim dhe akomodim në Durrës.
Për ne, një dhëmb zirkoni nuk është thjesht një kurorë e re. Është një investim në shëndet, estetikë dhe vetëbesim, dhe ne jemi këtu për ta bërë atë investim të vlefshëm.
